
KARADENİZLİLERİN KULAĞINA GİRENE BAK!
Trabzon’da, kulak ağrısı şikayetiyle hastaneye gelenlerin yapılan muayenelerinde kulaklarından çıkanlar doktorları şoke etti.
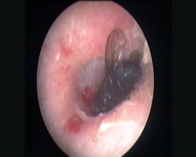
Kulak içinde yapılan kontrollerde canlı ve ölü böceklere rastlanırken duruma zamanında müdahale edilmemesi halinde kulakta işitme kaybına yol açabileceği belirtildi.
Trabzon Numune Hastanesi Kulak Burun Boğaz Uzmanı Opr. Dr. Hatice Bengü Yaldız Çobanoğlu, özellikle yaz mevsiminde dışarıda yatanların bu gibi durumlarla maruz kalabileceğini belirterek kulak içinden çıkan büyük böcekleri görünce şaşırdıklarını söyledi.

Şimdiye kadar yaklaşık 100 vakayla karşılaştığını belirten Dr. Çobanoğlu, şöyle konuştu: “Özellikle Gümüşhane kırsalından gelenlerin kulaklarında yaptığımız muayenelerde yabancı cisimlere böceklere daha sık rastlıyoruz. Küçük çocuklar böceğin kulaklarına kaçtığını anlamıyor. Yetişkinlerde gece uyurken ya da tarlada çalışırken kulağına yabancı cisim gelebiliyor. Kulak içinde canlı olan böceklere rastlamak mümkün.”
Hastaların genellikle kulağında bir şey yürüdüğü hissine kapıldığını anlatan Dr. Çobanoğlu, sözlerini şöyle sürdürdü: “Hasta, kulağında bir rahatsızlık ya da kulağının içinde bir şey yürüyor gibi şikayetler oluyor. Eğer böcek ileriye doğru ilerlerse kulakları tahrip edip işitme kaybına yol açabilir. Bu durumlara bölgemizde diğer bölgelere oranla daha sık rastlanılıyor. Böceğin görüldüğü durumlarda kulağa alkol ya da sıvı yağ gibi bir şey döküp böceği öldürmek daha mantıklıdır. Canlı iken almaya teşebbüs etmemek lazım. Önce öldüreceğiz ondan sonra alacağız.”

Meslek hayatı boyunca böyle yüze yakın vakayla karşılaştığını belirten Dr. Çobanoğlu, sözlerini şöyle tamamladı: “Dış kulakta yabancı cisimlere özellikle böceklere fazla rastladık diyebiliriz. Dört yaşında bir çocuğun orta kulağınına yerleşmiş olan canlı larvalar orada yuvalanarak kulak zarını yemişti. Vatandaşlarsıcak havada dışarıda yatmasın. Kulaklarında bir şey hissettiklerinde önemsememezlik yapmasın doktora gitsinler. Böcek kulak zarını tahrip ederse ileri de işitme problemi kalıcı olabilir.”


HABERE YORUM KAT